Submission ID: 010775


Title:
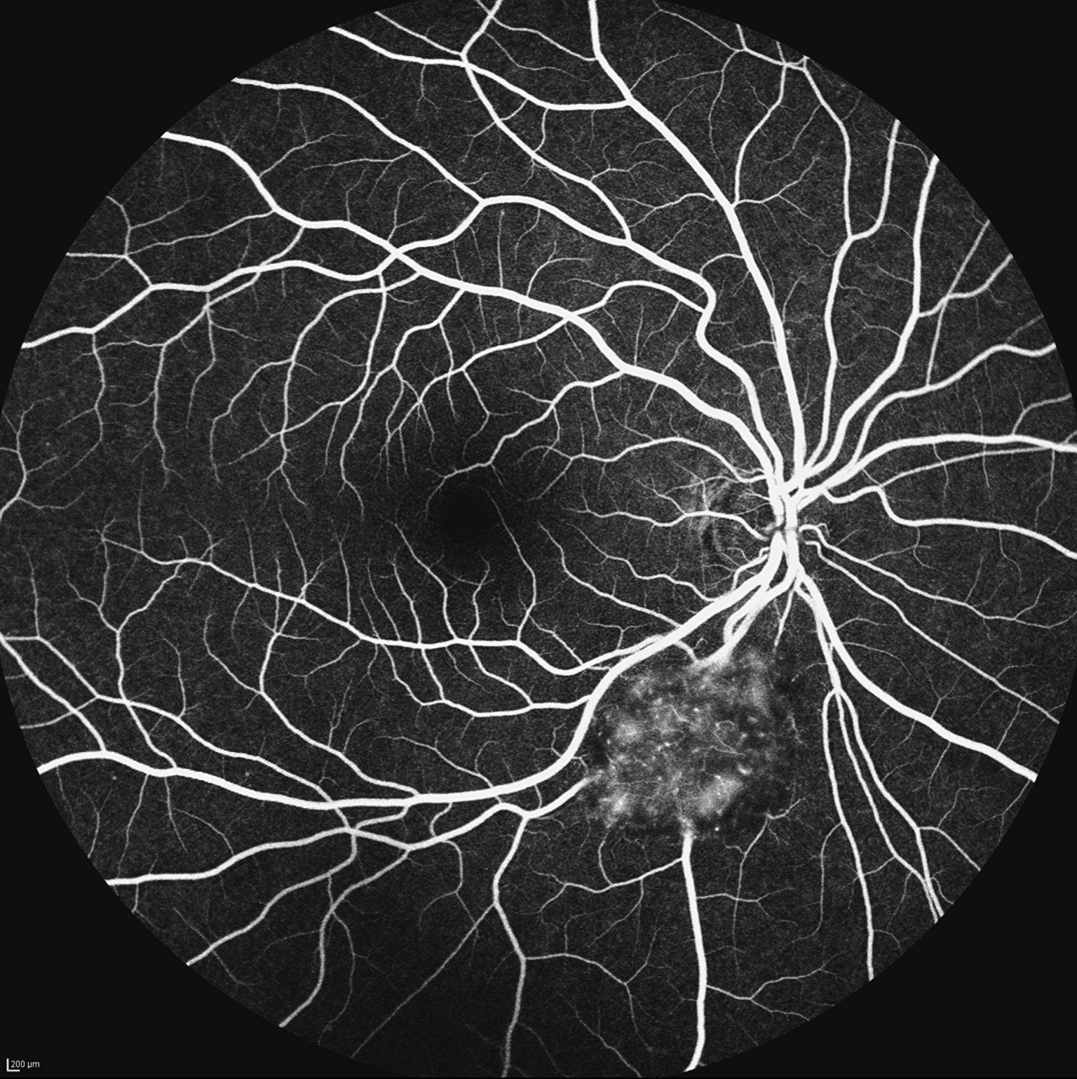
Nebula of Astrocytoma
Category:
FFA / ICG Angiography
Description:
Patient came with chief complaint of floater in right eye. On dilating, a lesion was found along ST vessel arcade. On FA using Heidelberg Spectralis HRA, a striking starburst of hyperfluorescence, its mottled texture and hazy borders gave the impression of a nebula igniting within the eye. Delicate capillary networks inside weaving an intricate lattice, looking like hidden galaxies in human eye.

Nebula of Astrocytoma
Heidelberg Spectralis HRA
DrParthaSingh_PS_Astrocytoma.JPG

Go Back