APAO-APOIS Imaging Competition
Imaging the Eye: Helping the World to See
Home
(current)
Sign In
Submission ID: 010626
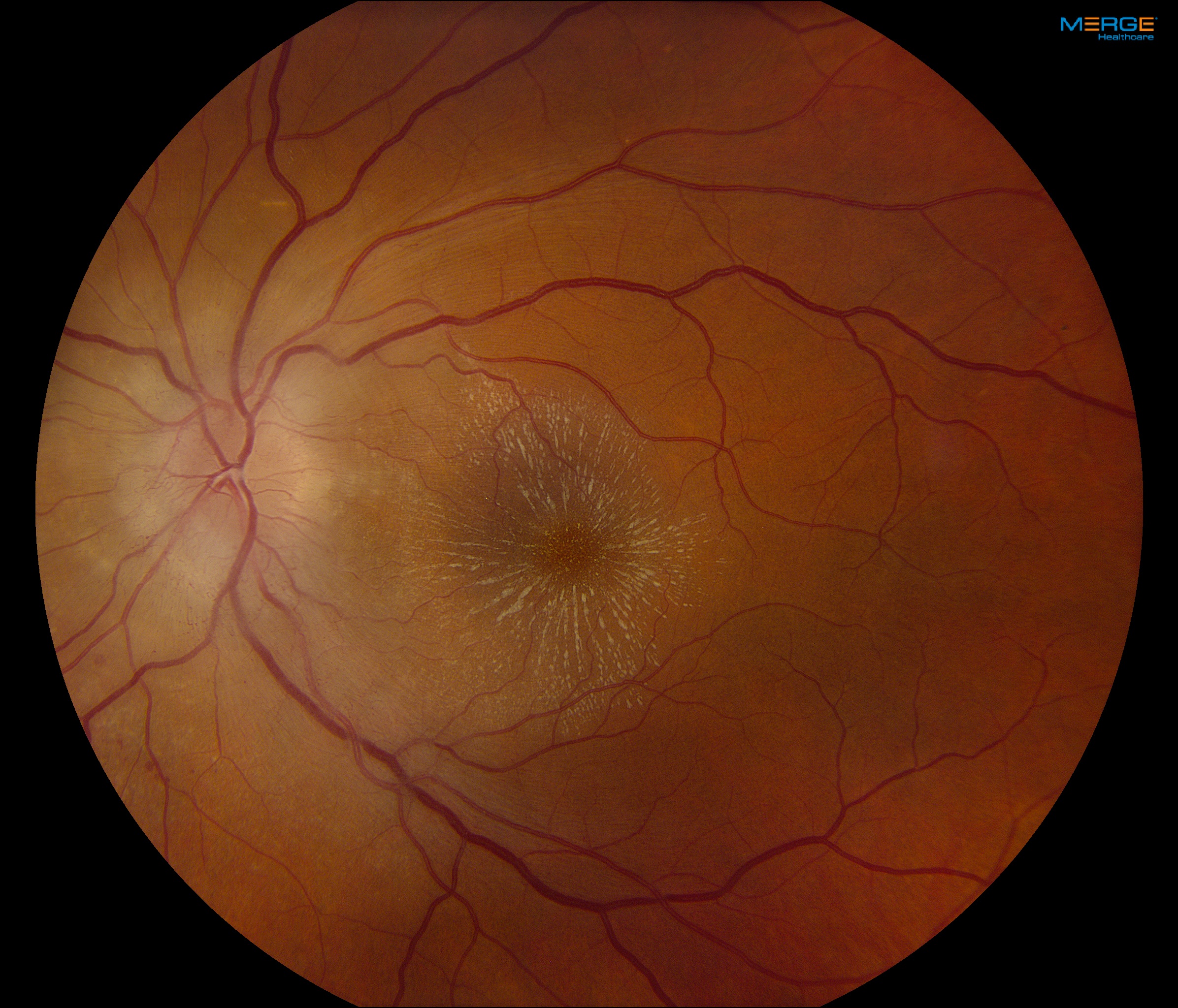
Title:
Macular Star
Category:
Posterior Segment photography
Description:
Macular star present after optic nerve swelling.
Macular Star
TOPCON TRC 50DX
3640_003 2.JPG
Go Back